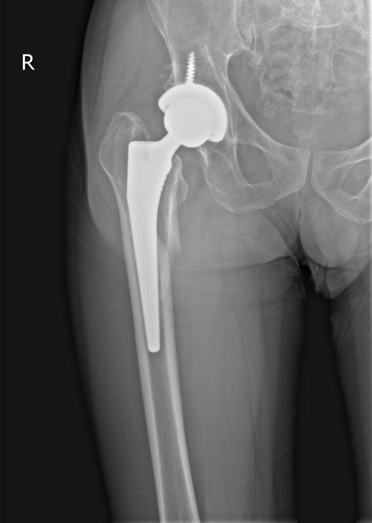
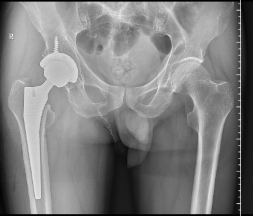
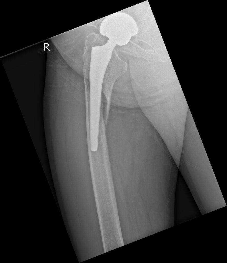
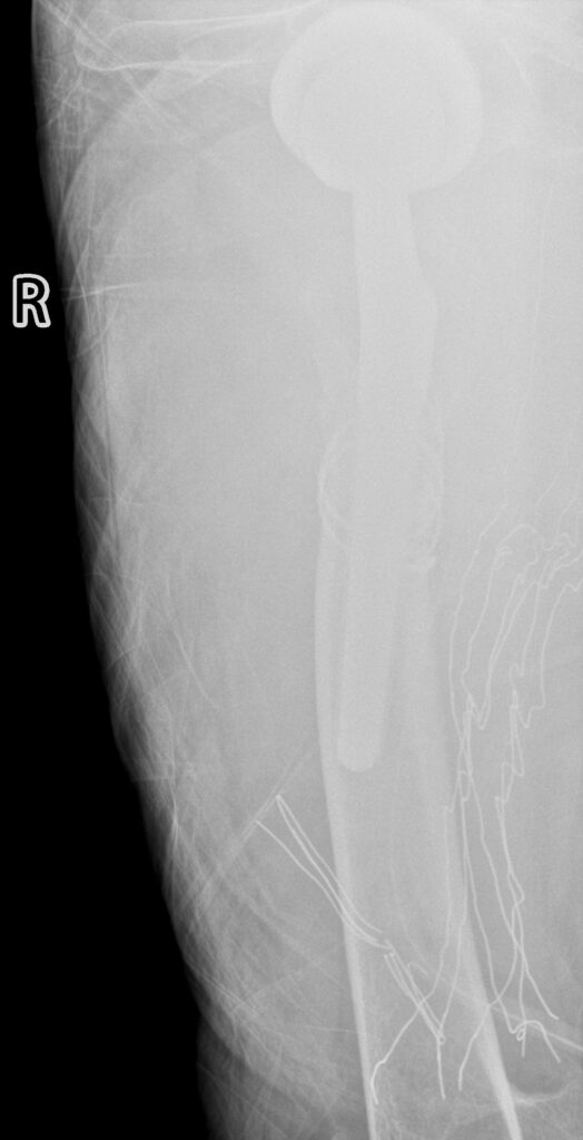
全髋术后股骨侧假体周围骨折切开复位内固定股骨柄翻修术(Open reduction, internal fixation and femoral stem revision for periprosthetic fractures on the femoral side after total hip surgery)


评论

发表回复

您的邮箱地址不会被公开。 必填项已用 * 标注